牙齒被齲病侵蝕後,牙齒上會形成牙洞。我們每次吃完東西後,食物留下的殘渣很容易堆積在牙洞內,使這個牙洞成為細菌滋生的溫床。這時候我們就需要把牙洞裏的殘渣清除掉,然後用樹脂等材料把牙洞填補上。這樣才能阻止齲齒進一步惡化。

為什麽補牙?
01避免齲洞變大影響咀嚼,齲洞或缺損處長時間不補的話,會影響咀嚼功能,導致消化不良。在補牙後能恢復正常的咀嚼功能,有利於消化吸收。
02防止牙齒脫落,齲洞不及時修補,嚴重時會引發牙髓炎和根尖炎,久而久之會導致牙齒松動,可能造成整顆牙齒喪失。
什麽情況下需要補牙?
一般齲壞及因不正當刷牙方式造成的楔狀缺損是需要及時補牙的。
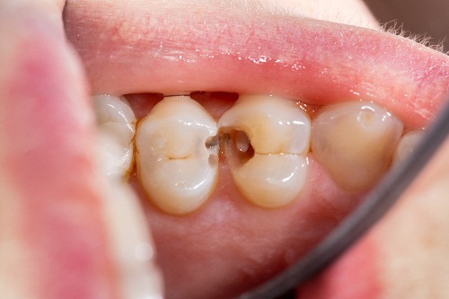
通常齲壞有三個階段:
一階段:牙齒咬合面有黑線,一般大牙是比較常見的,說明牙齒開始蛀蝕,牙釉質被細菌齲壞,但沒有疼痛感,會有窩溝齲出現,這時候需要及時補牙,而不是洗牙;
二階段:牙齒出現小黑洞,說明引起中度蛀牙,細菌腐蝕來到牙本質,伴有牙齒敏感,黑色腐敗物質其實就是細菌的產物,這時候還可以再補牙;
三階段:牙齒超過一般已經爛掉,這說明已經到了重度蛀牙的階段,細菌已經傷及到了牙髓牙神經,並伴有劇烈的疼痛,牙神經病變,這時候就需要進行根管治療來挽救這顆牙齒。

怎麽補牙?
①製洞:在補牙之前先對齲壞的牙體進行窩洞的製作,完全清除黑色的蛀牙成分,才能使得補牙材料和牙齒牢固結合,避免誘發繼發齲。
②消毒和塗上粘結劑:如果消毒不完全,很容易讓細菌在牙洞裏繼續滋生,消毒過程是為了更好地消除剩余感染。
③充填補牙材料:將補牙材料填入蛀洞裏,並且塑造出牙齒外形。
④光照:使用特定的光固化燈,補牙材料遇到特定波長的光線就會引發集合反應,比較快的變硬變強。
⑤打磨、拋光:對附著在牙體周圍的殘渣進行清理和打磨,對略微粗糙的牙齒表面進行拋光處理。

深圳愛康健齒科推出常規樹脂補牙7折(原價300元/顆),其他補牙治療8折(限非牙髓治療),活動時間截止到2025年5月31日。另外愛康健旗下位於羅湖口岸附近的深圳愛康健口腔醫院,是香港長者醫療券指定牙科機構,符合標準的香港長者可預約到院,使用長者醫療券支付補牙相關的費用。
推薦閱讀:深圳愛康健牙科收費價目表



















